
透明で目立たない
取り外し可能な
マウスピース矯正
当院のマウスピース矯正は、最新の矯正歯科理論と、3次元画像化技術やCAD/CAM等の最先端技術を融合させた新しい歯科矯正システムです。
今まで、ワイヤーをつけることに抵抗があって矯正を始められなかった方や、金属アレルギーの方でも行うことができる矯正システムです。
担当歯科医師紹介

- 天神でマウスピース矯正治療を
実績で選ぶなら! -
当院は2021年の開業以来、多くの患者様にマウスピース矯正治療を提供しております。
この度、マウスピース矯正治療の症例実績に応じて下記の認定を拝命いたしました。
- プラチナプロバイダー (インビザライン)
- ゴールドプロバイダー (インビザラインiGO)
年間300件を超えるマウスピース矯正治療を提供しております。
セラミック補綴治療も合わせた総合的な歯並び治療は、実績豊富な「天神西通りデンタルクリニック」にご相談ください。
iTero スキャニング
iTero スキャニングは、矯正治療計画に必要なコンピューター・シミュレーションを作成するための「歯型の記録」をとるための光学スキャニングです。
従来の歯型を採るシリコン印象では、歯型をとる歯科医師や歯科衛生士の技量の差や、歯型をとる際の苦しい時間、そしてマウスピースを製作するために歯型を輸送するという作業の手間がありました。また、シリコン印象では、嘔吐反射がある方、口が開きづらい方にとっては、特に大変な作業でした。
iTero スキャニングは、3D光学スキャニングを行い、そのデータをもとにコンピューター画面上に歯型が記録されます。iTero スキャニングでとった記録は、輸送する必要がなく、歯型の精度がとても高いことがメリットです。また、iTero スキャニングの先端は口腔内に入る大きさで、何カ所かに分けて撮影をすることができるため、顎が疲れる心配や、嘔吐反射が起こる心配もありません。
利点が多いiTero スキャニングで、あなたにとって最適なマウスピース矯正を天神西通りデンタルクリニックでお受けいただけます。
マウスピース矯正とは?
マウスピース矯正とは、透明のマウスピースを装着し、歯を徐々に移動させる矯正歯科の治療方法です。
約1ヶ月間ごとに新しいマウスピースに交換しながら一日20時間程度の装着期間で歯並び矯正ができます。
(※マウスピース交換の期間や装着時間等は症例によって多少異なります。)
最大の特徴は、マウスピース装置の脱着が可能なことと、透明で目立たないので矯正をしていることがほとんど分からないことがあげられます。
「歯並びは直したいけど金属ワイヤーやブラケットを長期間つけるのには抵抗がある」という方には、非常にオススメです。
マウスピース矯正の特徴
取り外しができて衛生的

マウスピース矯正装置は取り外し可能な為、従来型の矯正装置のようにプラークが沈着することがなく、歯や歯周組織を健康に保つことができます。また、マウスピースは歯ブラシで簡単に洗浄することができ、とても衛生的です。
透明で目立たなく、話しやすい

矯正治療をしたくても見た目が気になるという方には、マウスピース矯正は薄く透明で目立ちにくい装置ですので最適です。自分からマウスピースをつけていると伝えない限り、周りには気付かれないという方も多くいます。
食べたい物がたべられる

従来型の矯正装置は、ホウレン草などの葉物は絡まりやすく、餅のような粘着性のあるものはくっつきやすいため、わずらわしさがありましたが、マウスピース矯正は取り外しが可能ですので、普段と変わらず食事を楽しむことができ、非常に快適です。
治療を受ける年齢制限がない

年齢等で矯正治療をあきらめている患者様がいらっしゃいますが、マウスピース矯正は年齢問わず治療ができます。お子様から50歳以上の方、主婦の方もたくさんはじめられています。
痛みがほとんど無い

マウスピース矯正は従来型の矯正装置よりも痛みがありません。その理由として過度な力が歯にかかりにくいこと、そしてワイヤー・ブラケットを使用しないので、粘膜に当たる痛みや刺さる痛みは無く、口内炎ができることはほとんどありません。
金属アレルギーも解消

マウスピース矯正装置はプラスチック製なので、金属アレルギーを引き起こす心配がありません。金属アレルギーで矯正治療を断念した方も、安心して治療を受けていただけます。
マウスピース矯正の利点
固定式矯正装置と比べ、利点としてあげられることは以下のものです。
-
- 利点 1
- 取り外し可能
患者様ご自身で取り外しが可能ですので、食事や歯磨きのときは矯正装置を取り外して行うことができます。
-
- 利点 2
- ホワイトニングが併用可能
患者様ご自身で取り外しが可能ですので、食事や歯磨きのときは矯正装置を取り外して行うことができます。
-
- 利点 3
- 部分的な矯正治療も可能
出っ歯や隙っ歯といった部分的な矯正治療が可能で、1本だけ出ている、または引っ込んでいるといったケースにも対応できます。
-
- 利点 4
- 後戻り治療も可能
矯正後、数年経過した際の軽度の後戻り症例にも使用できます。
-
- 利点 5
- 後戻りのリスクが減ります
舌癖防止になり、矯正後の後戻りのリスクが減ります。
-
- 利点 6
- 最後の仕上げに使用することも可能
通常の矯正治療の最後の仕上げに使用することもできます。
-
- 利点 7
- 治療費が抑えられる
通常のワイヤー矯正治療よりもリーズナブルな費用で矯正治療が可能です。
マウスピース矯正の欠点
固定式矯正装置と比べ、欠点としてあげられることは以下のものです。
装着時間を守る必要がある
指示された使用時間を守らなくてはならない。
適応できない症例もある
マウスピース矯正は適応できない症例もあるのでご相談ください。
装着時に違和感を覚えることもある
装置装着中は歯と歯が当たらないため違和感を覚えるときもある。
部分矯正にも対応!
部分矯正とは、その名の通り「前歯」「すきっ歯」「出っ歯」「八重歯」など部分的に歯を移動させる治療です。全顎矯正と異なり、次のようなメリットがあります。
-
- メリット 1
- 気になるところだけをピンポイントで治療が可能
前歯2本だけ、すきっ歯の部分だけ、八重歯だけ、出っ歯の部分だけ、下の歯だけなどご希望に応じて柔軟に治療が可能です。
-
- メリット 2
- 低コストで歯列矯正治療が可能
従来のブラケットの矯正治療より使用する装置や治療期間が異なるため、部分矯正では低コストで治療が可能です。
-
- メリット 3
- 短期間で歯並び治療が可能
部分的ピンポイントで歯を動かしますので、治療期間も短縮されます。本格的な歯列矯正は数年かかるのことが通常ですが、部分歯列矯正の治療期間は数ヶ月で終了します。
インビザライン矯正
コースメニュー・料金
「インビザラインスマイルビュー」にて、矯正治療後の歯並びが整ったイメージを確認することができます。

矯正治療の開始から治療完了までのすべてのマウスピース矯正装置がセットになったあらゆる歯並びに対応可能な全顎矯正のコースです。
毎月の調整(型採り)がないので来院の必要もなく、世界100か国以上で計1400万人が使用している最も信頼できるマウスピース矯正治療です。

前歯から小臼歯までの歯並びを改善することができる部分矯正のコースです。
最大20枚までのマウスピース矯正装置で治療期間は約3ヶ月から6ヵ月が目安です。毎月の調整(型採り)がないので来院の必要はありません。
| オプションメニュー | ||
|---|---|---|
| ホームホワイトニングキット | 1,980円 | |
| オフィスホワイトニング | 13,200円 | |
インビザライン
マウスピース矯正の特徴
インビザラインが他のマウスピース矯正システムと違う点は、患者様の来院負担が少なくて済むという点です。
通常マウスピースを作成するために治療開始時に歯型(印象)を採りますが、インビザラインの場合は基本的に1回の歯型を採り(ズレが発生しても3回程度)、3次元画像化技術とCAD/CAM技術により質の高いマウスピースをつくり、各ステップのマウスピースをまとめて作製しお渡しします。
そのため来院回数が6~8週間に1回のペースと減らすことができます。また、マウスピース矯正装置の中では歴史が古く実績豊富なため、しっかりとしたエビデンスがあることが特徴の一つです。
インビザライン矯正は一人一人に合ったプランで治療が可能
- コンプリヘンシブパッケージ
- 広範囲な歯並びの改善に適応しています。期間が長期になるような場合、中等度以上の歯列不正の方、奥歯を含めた全体矯正を行う方に適応します。両顎、片顎ともに矯正治療が可能です。
- ライトパッケージ
- ねじれ、すき間、凸凹のある前歯など、比較的軽度の歯列不正や、矯正後の後戻りなどでわずかに動いてしまった場合に適応します。前歯だけの部分的な矯正を行う場合にも適しています。アライナーの製作枚数が限られているため歯並びの状態によっては適応しない場合もあります。
- エクスプレスパッケージ
- 軽微な歯列不正、矯正後のわずかな後戻り、審美的な改善などに適応します。ライトパッケージ同様、アライナーの製作枚数が限られているため歯並びの状態によっては適応しない場合もあります。
10代の患者様にも
インビザライン矯正が可能です
お友達との関わりや趣味、習い事、部活など、毎日をアクティブに過ごす10代の方にも向いているインビザライン
10代の患者様にもおすすめできる理由
- 学校生活でも見た目を気にすることなく勉強やお友達との関わりに打ち込めます。
- 取り外しができるため、しっかりブラッシングが行えて若い永久歯の虫歯リスクを減らせます。お口の中を健康に保つことができます。
- 食事の時も普段通り美味しく味わうことができます。
- 歯に金具や装置がついていないため、サッカーや体操などのスポーツで衝撃を受けた時でもお口の中が切れたり傷つくことがありません。
- ️金属アレルギーの問題を回避できます。
- 10代の患者様でインビザラインをご希望の場合、左右の小臼歯が生えていて、奥歯の噛み合わせが安定している症例を適応とさせて頂きます。
- 矯正治療終了後も、顎骨の成長がほぼ終わる18歳〜20歳くらいまでは慎重な経過観察が必要になります。
マウスピース矯正治療の流れ
-
STEP 1

カウンセリング
患者様のご要望や症状などをお伺いします。
また、おおまかな治療期間や費用などをご説明します。
質問などありましたらお気軽にお申し付けください。 -
STEP 2

精密検査
CT、レントゲン撮影などによって、お口の中の状態を正確に検査します。
そのデータをもとに、最適な治療方法を検討していきます。 -
STEP 3

3Dスキャン
3D口腔内スキャナーを使用し、口腔内の印象を3D画像にて印象採得していきます。
歯並びや歯の色などこの3D口腔内スキャナーのデータを用いてマウスピース矯正の綿密な治療計画をつくってまいります。 -
STEP 4

綿密な治療計画の立案
検査結果から3Dコンピューター画像にて、治療開始から完了までのシミュレーションを行います。
このとき、ご自身の歯がどのように動いていくのかを、立体的なアニメーション画像でご確認いただくことができます。 -
STEP 5

治療開始
詳細な治療計画に基づき、治療を開始します。
患者様に合ったマウスピース矯正装置を用い、歯並びをゆっくり整えていきます。 -
STEP 6

保定期間
矯正期間が終了したら、歯並びの位置を安定させるために保定装置(リテーナー)を装着していただきます。
歯並びが安定したら、矯正治療は終了です。 -
STEP 7

アフターケア
矯正治療が終了しても、すぐに虫歯や歯周病などになってしまっては元も子もありません。
定期検診などを通して、正しい歯並びと健康な歯を維持していきましょう。
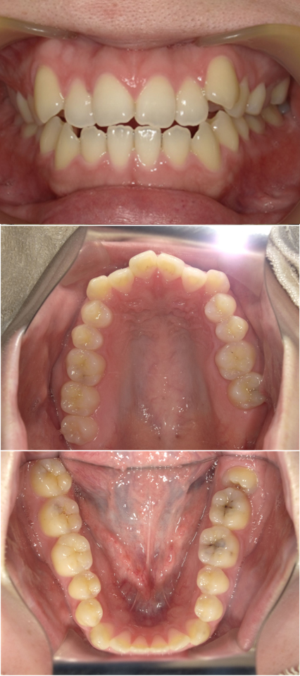
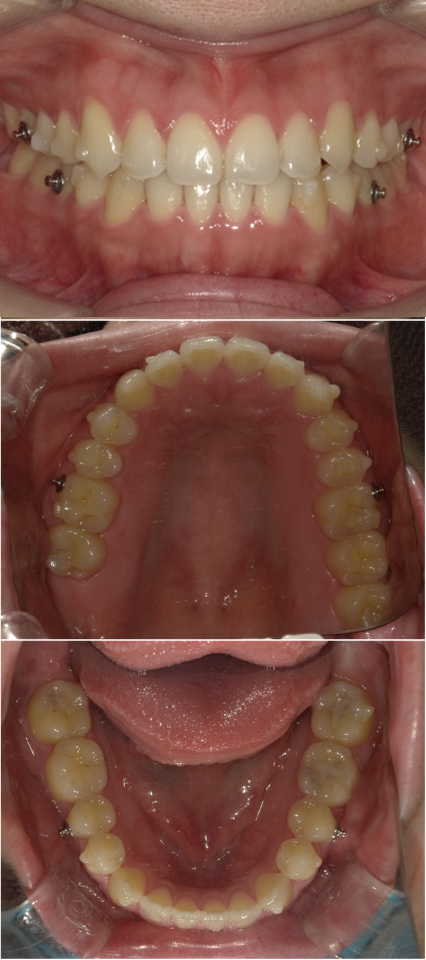
マウスピース矯正の症例
インビザライン(全顎マウスピース矯正)
-

術前
-

術後
-
- 期間
- 1年5ヶ月(2023年5月25日開始)
-
- 費用
- 913,000円(税込)
-
- 内容
- リンガルボタンを4箇所設置し、ゴム掛けも併用。IPR有り。アライナーは10日毎に交換。
治療前が2023年3月、治療後が2024年10月の症例写真となっております。
マウスピース矯正治療に関する
よくある質問
- 1.食事のときはどうすればよいでしょうか?
-
マウスピース矯正で使用しているマウスピースは、簡単に取り外しができるため、ご自身で取り外して食事をされてください。
なお、人がいるところでのマウスピースの着脱は、周りの方に不快な思いをさせてしまうため、お手洗いなどでマウスピースを外し軽く水洗いし、水気を拭き取り、保管用のマウスピースケースに入れておけば大丈夫です。
- 2.マウスピースを付けているときは話にくいですか?
-
個人差がありますが、人によっては少し話しにくくなる方がいらっしゃいます。人前で話す、など必要な場合は一時的にマウスピースをはずすことをおすすめします。
- 3.マウスピースの装着時、痛みはありますか?
-
個人差がありますが、マウスピースが特定の歯に一定の方向の力を加えますので、動かそうとする歯が圧迫される感じがあります。また、動かそうとする歯の周りは、少しきつく締め付けられる感じがします。これは、新しいマウスピースを装着した直後に特に感じます。しかし、時間とともに歯が動いてくるとすぐに慣れてきます。このきつく締め付けられる感じは、四六時中感じるのではなく、新しい装置を入れて数時間ほどですので、一日装着していると慣れて痛みを覚えることはなくなります。
- 4.マウスピースの矯正は虫歯になりやすいですか?
-
マウスピース矯正は、ご自身で矯正装置を取り外して歯磨きをすることができます。そのため正しくケアを行いっていれば、比較的虫歯になるリスクが低い矯正方法です。丁寧に歯みがきを行いましょう。
- 5.同じマウスピースを使い続けるのでしょうか?
-
マウスピース矯正は、1~2週間ごとに新しいものに交換することによって歯を正しい位置に動かしていく矯正方法ですので、基本的には歯の動きに合わせて1~2週間ごとに交換していきます。
- 6.矯正中は管楽器の演奏などに支障は出ますか?
-
基本的には支障はありませんので、マウスピースを付けたままでも演奏できると思いますが、気になったり問題となる場合には、一時的に外して演奏されてください。
- 7.矯正中に妊娠しても問題はないでしょうか?
-
マウスピース矯正は、食事や歯みがき以外の時はずっと装着しなければなりません。つわりがひどい時にマウスピースが装着できなくなってしまう方もいるようです。そんな時には無理せずに外して体調を整えてください。調子が良い時にまたマウスピースを装着するようにすれば大丈夫です。ですが、長期間マウスピースが装着できない時には、歯が後戻りを起こしマウスピースがはまらなくなることもありますので、その場合には対処方法や治療方針をご相談ください。
- 8.矯正治療にかかる期間はどのくらいでしょうか?
-
症例にもよりますが、治療期間の目安は、5ヶ月~2年程度となります。奥歯を含む歯の全体を動かす治療であればワイヤー矯正と同様に治療期間は長くなり、前歯を中心とした部分治療の場合には治療期間は短くなります。
- 9.矯正治療後に後戻りすることはありますか?
-
歯列矯正治療後に後戻りする可能性はあります。このため、矯正装置を外した後には、歯が動かないようにリテーナーと呼ばれる装置を装着することが推奨されます。ただし、リテーナーの装着を自己判断で中止すると、歯が後戻りするリスクが高まりますので、定期的な検診を欠かさず受けることが重要です。